Home
About
Listing
Blog
Contact
Sign In
Add Listing
Home
Blog Page
Latest Updates
View Recent Updates
Dental treatments explained
Veneers, Whitening, or Bonding? Choosing the Right Cosmetic Dental Option
68 Views
06 Mar 2026
Finding Care That Fits
Dental Check-Up Costs in Australia: What You’ll Really Pay in 2026
126 Views
06 Mar 2026
Beyond the Check-Up
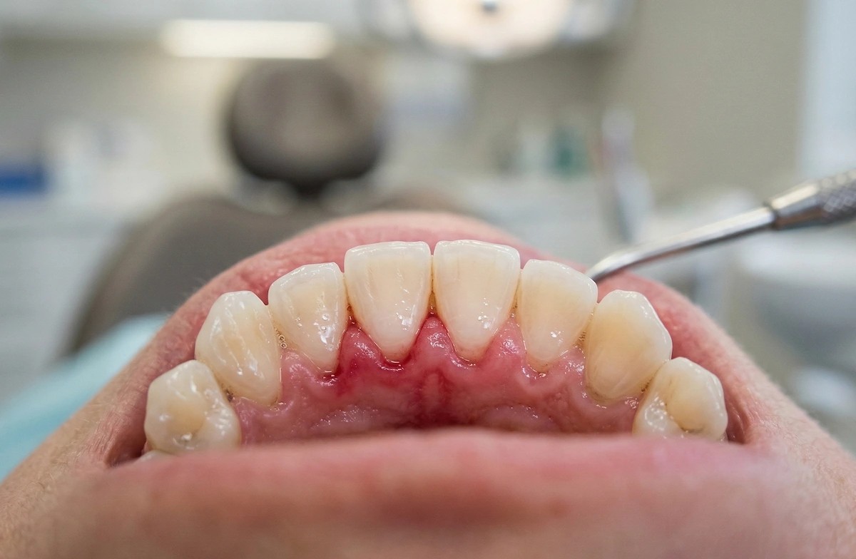
Bleeding Gums: Harmless or a Warning Sign? When to See a Dentist
221 Views
06 Mar 2026
Finding the right dentist
Why Your Tooth Hurts at Night: Causes, Risks & What to Do Before Morning
52 Views
02 Mar 2026
Your experience on this site will be improved by allowing cookies.
Allow cookies